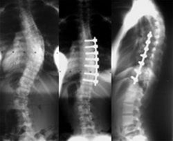
Scoliosis Surgery Cost

In the UK a lot of people will get scoliosis surgery for free on the NHS, but unfortunately there is a long waiting list for this type of treatment. The other option is to have the procedure performed privately and those considering this option will want to know about scoliosis surgery cost. This is something that may not always be covered by insurance and in those cases where it isn't the scoliosis surgery cost can be quite expensive. There are many alternatives though, including going abroad for treatment, and you will probably want to consider all of these before making a final decision.

Scoliosis Surgery Cost

If you decide to have the procedure performed in the UK then the scoliosis surgery cost can be as much as £50,000. This is a lot of money to most of us and we may struggle to raise that amount of cash. It is also important to consider if this high scoliosis surgery cost is going to be actually worth it. There is no right answer to this because each individual is unique and the benefits they get from the surgery will vary. For some people scoliosis surgery can make a huge difference to their lives; not only their physical abilities but also their sense of mental well-being. For other people having the surgery the results can be disappointing or there have been complications that have arisen as a result of the surgery. With all operations there is always the chance that things will go wrong – and this scoliosis surgery is no different. The surgical team will be able to provide their opinion of the risks and potential benefits in each case – it will be then up to the individual to decide if it is worth it.

Scoliosis Surgery Cost Abroad

Some people may decide to go abroad in order to get the procedure done for a reduced scoliosis surgery cost. This is not a decision that should be taken lightly because there are further risks associated with having this procedure done abroad; especially in those parts of the world that have a lower cost of living. The most important risk is that the surgical team might not be competent enough, or have the right equipment, if they are able to provide the procedure cheaply. There is also the risk of developing complications post-procedure and being stuck in a foreign country away from loved ones.

The scoliosis surgery cost in the US is about the same as the UK, but there are other countries that offer the procedure for considerably less. If you are going to consider one of these other options you are advised to do your research to ensure that the operation will be performed by competent surgeons in a good hospital. Sometimes the reason why hospitals can offer procedures at a cheap price is because they offer low wages to employees and avoid buying needed equipment and supplies; on the other hand, there are some hospitals abroad that can offer a first-class service at a cheaper price than the UK.

Scoliosis Surgery Cost